Before and afters

See the difference that orthodontic treatment can make in a smile!

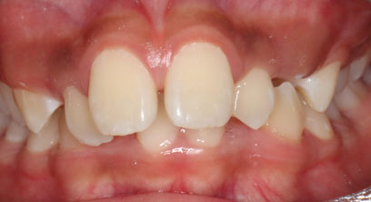
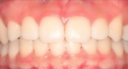
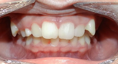
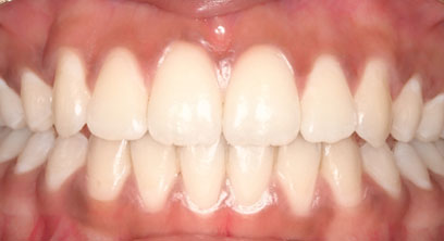
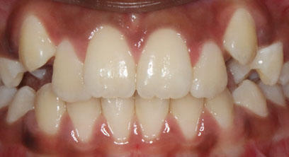
There’s nothing more rewarding than seeing the transformation - not just in someone’s smile, but in their confidence too. At Clear Orthodontics, we’re proud to showcase just a few of the real results we’ve achieved for patients across Broadmeadows and Caroline Springs. Whether it’s correcting crowding, closing gaps, or aligning bites, every before and after tells a story of care, precision, and a personalised treatment plan.

Explore our gallery to see how braces, aligners, and early intervention can make a lasting difference at every age.

Before and afters
before-04.jpg
before-04.jpg
before-03.jpg
before-03.jpg
before-02.jpg
before-02.jpg
before-01.jpg
before-01.jpg
before-01.jpg
before-01.jpg
before-02.jpg
before-02.jpg
before-03.jpg
before-03.jpg
before-04.jpg
before-04.jpg
Could your smile be next?

Could your smile be next?

We’d love to add your smile - or your child’s - to our growing gallery of transformations. Every smile you see here started with a simple conversation and a personalised plan, tailored to suit real lifestyles, real timelines, and real budgets. Whether you’re curious about clear aligners, or early intervention options for your child, our team is here to guide you every step of the way.

Book a consultation today at our Broadmeadows or Caroline Springs clinic and take the first step toward a straighter, more confident smile. The results speak for themselves!

Book a consultation